アプリケーションノート
技法
PV100システムは、伝播時間回折(TOFD)および横波パルスエコー超音波(斜角)という2つの超音波テクノロジーをベースにしています。 TOFDは迅速で効果的な検査ソリューションで、優れた肉厚測定や配向欠陥について圧倒的な検出を提供しますが、上端部や根本部分に固有の弱さがあります。 横波はこの部分をカバーして完全な補完となる一方で、高速スキャンスピードは変わらず維持します。 (TOFDのさらに詳細な情報については、TOFD理論のPDFを参照してください)。 頻繁に採用され、放射線検査またはマニュアル超音波検査の代わりになります。 Pv100は半自動の(エンコードされ、オペレーター操作の)手法で、移動量に対するデータ獲得を保存し、アーカイブ可能で事後に処理/分析の可能なデジタルファイルを生成します。 典型的なスキャン時間は、構成材の直径また溶接の長さによって変わります。 システムの設定により、溶接の対象範囲がすべてカバーされます。TOFDおよびPV100手法の利点の一部を以下で詳述します。
TOFDの利点
- ワンラインの容積検査
- 高速のスキャン
- 溶接形状とはほぼ無関係の設定
- TOFをベースにした正確な欠陥サイジング機能
- あらゆる欠陥に素早く反応
- 配向欠陥に全くといってよいほど無反応
- 振幅感度は低く、音響結合の重要性も低い
PV100システムの利点
- ラスター走査または放射線検査より少ない検査回数
- 人的資源削減の可能性
- 根本部分、上端部分、中壁部分をワンラインで同時スキャン
- 直接OmniScan、またはTomoviewソフトウェアを介して、欠陥の正確な場所、特性解析およびサイジング
- 柔軟性:様々な直径、厚さ、溶接形状に容易に調整可能
- イメージングや後処理機能でフルA-スキャンデータ = 放射線傷害を伴わない放射線検査の代替となる優れた検査。
12.7mm(0.5インチ)のシングルVの突き合わせ溶接について完全な設定
60度のTOFDで溶接をカバー
70度の横波で根本部分に集束(角度は設計や厚さによって変わることがあります)
60度の横波で上端部分に集束(角度は設計や厚さによって変わることがあります)(画像)
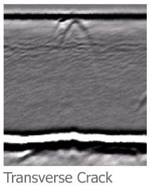
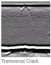
TOFDは、屈折縦波ウエッジに組み込まれた減衰の大きいトランスデューサを活用し、対象範囲をカバーする幅広のビームL波を生成します。 パルスエコーと異なり、ピッチ/キャッチ構成(送信プローブ1つ、受信プローブ1つ)で対になったトランスデューサを活用します。 欠陥の検出はホイヘンスの原理に基づいています。基本的には、ある物体がエネルギー波とぶつかると、物体は振動し、反射されたエネルギーのみならず、あらゆる方向に回折エネルギーを放出するというものです。 これらの無指向性の波が、受信プローブによって受信されます。
この信号が次に位相/振幅(+/-)および伝播時間(マイクロ秒)で処理され、グレースケールパレットを使って表示されます。
幅広ビームの従属部品の詳細およびデータ表示-横波(表面近傍下)、底面、材料体積。 (画像)
横波トランスデューサは、45度、60度、または70度のウエッジに適合する単結晶(複合材料)超音波トランスデューサです。 広くなることのあるスキャン範囲の分析を容易にするために、B-スキャン(側面図)イメージングが採用され、色は振幅に基づいています。
設定と機器
TOFDおよびパルスエコートランスデューサの適切な位置はソフトウェア(同梱のビームツールレポートを参照)、位置テーブルまたは文書化された手順より確立されます。 規格要件は業種によって変わるため、要件に沿った機器や設定も変わる場合があります。 通常、AWS(Part G 6.36)およびASME(CC 2235-9、同梱のPDF参照)要件に基づいて顧客は現在PV100を使用しています。 規格要件に応じて、性能実証および校正ブロックも獲得する必要があります。 機器はパッケージとして販売され、厚さ、溶接設計などの範囲をカバーするために必要な機器をすべて含んでいます。 設定/校正を作成し保存すれば、OmniScanプラットフォームから呼び出すことができます。
主要な構成材
8チャンネルのデータ収集
モジュールOmniScan MXのメインフレーム
カプラントポンプ
さらに:
- 高速化した事後解析用のTomoviewソフトウェア(分析は直接Omniscan上で実施できます)
- プローブ/ウエッジ/アンビリカルケーブル/校正ブロック等があり、多様です。
解析およびレポート作成
解析およびレポート作成はOmniscan上や、TVまたはTV Liteソフトウェアで直接実行できます。
TV Liteの一般的レイアウトとデータ
トレーニング
機器操作に関するトレーニングはオリンパスNDTスタッフが実施することができます。 このトレーニングは、TOFD理論や超音波理論、機器の設定、スキャンおよび解析を含みます。 ステップごとに文書化された手順が使用され、顧客にプローブ位置ガイドラインを提供します。 規格要件によっては、レベルIII認定者に手続き作成を依頼する必要が生じる場合があります。このサービスは当社のトレーニングパートナーを通じて利用可能です。 当社の認定されたトレーニングパートナーは、講義形式のトレーニングおよびPV100など特定の顧客や特定場所に特化したトレーニングも計画して提供します。 トレーニングに関する詳細は、当社トレーニングパートナーのウエブページをご覧ください。